여러분들의 건강을 위해 가장 행복한 삶을 선물하겠습니다.
여러분들의 건강을 위해
가장 행복한 삶을 선물하겠습니다.
주로 서구에서 흔한 암으로 알려졌지만, 최근 한국이 서구화되고 고령화되면서 그 발생이 증가하고 있다.
전립선암은 정확하게 밝혀진 원인은 없지만 식습관과 밀접한 관련이 있습니다. 특히 동물성 지방의 과도한 섭취와 관련이 있는데요,
우리나라도 생활습관이 서구화되면서 육식을 많이 하고 고칼로리 식단이 일반화되면서 전립선암의 발생이 증가하고 있는 것으로 생각됩니다.
고령화도 전립선암 발생과 연관이 있습니다. 60세 이상에서 전립선암의 발생이 증가하는 데 고령자가 늘면서 전립선암의 발생도 같이 증가하는 것으로 보입니다.
특별한 증상이 없을 수도 있습니다. 또한 전립선비대증이나 전립선염과 관련된 배뇨곤란 증상으로 내원하였다가 우연히 발견되는 경우도 있습니다.
그외 혈뇨, 혈정액, 사정장애 등의 증상이 있을 수 있습니다.
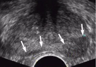
경직장 전립선초음파, 전립선암 특이항원(PSA)검사

여성보다는 남성에게서 3배이상 발병 위험성이 높은 것으로 보고되고 있습니다.
그 이유는 흡연이 발병에 큰 영향을 미치기 때문입니다. 하지만 여성흡연자도 빠르고 늘고있는 추세여서 성별에 관계없이 결코 안심해서는 안될 것입니다.
빈뇨, 혈뇨, 배뇨시 통증, 급박성요실금, 옆구리통증, 아랫배에 덩어리가 만져짐, 체중감소 등
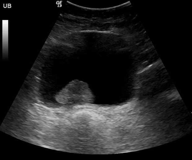
소변검사, 방광초음파, 방광내시경, 방광암표지자검사, 요세포검사
